Mon - Sat: 09.00 to 18.00, Sunday: Closed.

  • +91 99364 24084

    drshantanukhattri@gmail.com
  • Shop No-B-26 Savitri Plaza

    Booth Nath Market Lucknow

Contact Info

  • Address

    C/o Asha Dental Clinic Orthodontic And Implant Care,B-26, Savitri Plaza, Indira Nagar, Lucknow, Uttar Pradesh 226016

  • Phone

    Phone 1: +91 99364 24084

    Phone 2: +91 84005 02500

  • Email

    drshantanukhattri@gmail.com

Copyright © 2019 Asha Dental Clinic, All Rights Reserved.

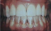
Teeth Whitening for a Brighter and Cleaner Smile

Teeth whitening is a simple and effective way to improve the appearance of your smile by reducing stains and discoloration. At Aasha Orthodontic & Dental Care Clinic, we offer professional whitening treatments designed to be safe, controlled, and suitable for your individual needs. Under the guidance of Dr Shantanu Khattri, the procedure is carried out with care to achieve natural-looking results.

Why Do Teeth Become Discolored?

Teeth can lose their natural brightness over time due to various factors. Understanding the cause helps in choosing the right whitening approach.

  • Food and beverages: Tea, coffee, and certain foods can cause staining
  • Tobacco use: Leads to noticeable discoloration over time
  • Age-related changes: Natural wear of enamel reveals darker layers
  • Poor oral hygiene: Allows stains to build up on the surface

How Teeth Whitening Works

Professional teeth whitening uses specially formulated agents to break down stains and lighten the color of the teeth. The process is carried out under controlled conditions to ensure safety and effectiveness.

  • Assessment: Evaluation of teeth and gums before treatment
  • Application: Whitening agent applied carefully
  • Activation: In some cases, light or chemical activation is used

Benefits of Professional Whitening

Choosing professional whitening over home remedies ensures better and more predictable results while maintaining safety.

  • Noticeable improvement: Teeth appear cleaner and brighter
  • Safe procedure: Performed under professional supervision
  • Even results: Reduces patchy or uneven whitening
  • Boosts confidence: Enhances overall smile appearance

How Long Do Results Last?

The results of teeth whitening can last for a considerable period, depending on your habits and oral care routine. Avoiding stain-causing foods and maintaining good hygiene can help prolong the effect.

Things to Keep in Mind

A few simple precautions can help you maintain your results and avoid sensitivity after the procedure.

  • Avoid staining foods initially: Especially in the first few days
  • Maintain oral hygiene: Regular brushing and cleaning
  • Follow professional advice: For long-lasting results

Our Approach to Teeth Whitening

At Aasha Orthodontic & Dental Care Clinic in Lucknow, we take a careful approach to teeth whitening. Each patient is assessed individually, and the treatment is planned accordingly to ensure both safety and satisfaction. Our goal is to provide a result that looks natural, balanced, and appropriate for your smile.

Planning Your Consultation

If you feel your teeth have become dull or stained over time, a professional whitening treatment can help restore brightness. A consultation will help determine whether this option is suitable for you and what results you can expect.

Choose Your Color
You can easily change and switch the colors.