Mon - Sat: 09.00 to 18.00, Sunday: Closed.

  • +91 99364 24084

    drshantanukhattri@gmail.com
  • Shop No-B-26 Savitri Plaza

    Booth Nath Market Lucknow

Contact Info

  • Address

    C/o Asha Dental Clinic Orthodontic And Implant Care,B-26, Savitri Plaza, Indira Nagar, Lucknow, Uttar Pradesh 226016

  • Phone

    Phone 1: +91 99364 24084

    Phone 2: +91 84005 02500

  • Email

    drshantanukhattri@gmail.com

Copyright © 2019 Asha Dental Clinic, All Rights Reserved.

Teeth Replacement for Restoring Function and Confidence

Missing teeth can affect not only your appearance but also your ability to chew and speak comfortably. At Aasha Orthodontic & Dental Care Clinic, we offer reliable teeth replacement options designed to restore both function and aesthetics. Under the guidance of Dr Shantanu Khattri, each treatment is planned carefully based on your dental condition and individual needs.

Why is Teeth Replacement Important?

Replacing missing teeth is important for maintaining proper oral health and preventing future complications. Leaving gaps untreated can lead to shifting of nearby teeth and changes in bite alignment.

  • Restores chewing function: Helps in eating comfortably
  • Improves appearance: Enhances smile and facial balance
  • Prevents shifting: Keeps surrounding teeth in position
  • Supports speech: Helps in clear pronunciation

Available Teeth Replacement Options

There are several treatment options available depending on the number of missing teeth, oral health condition, and personal preference.

  • Dental Implants: A long-term solution that replaces the tooth root and crown
  • Dental Bridges: Fixed prosthesis supported by adjacent teeth
  • Dentures: Removable option for partial or complete tooth loss

Dental Implants

Dental implants are considered one of the most stable and durable options for replacing missing teeth. They are designed to function like natural teeth and help maintain bone structure over time.

  • Strong and long-lasting
  • Natural appearance and function
  • Does not affect adjacent teeth

Dental Bridges

Bridges are fixed restorations that use neighboring teeth for support. They are a suitable option when implants are not preferred or not feasible.

  • Fixed solution: Does not need to be removed
  • Restores appearance and function
  • Requires support from adjacent teeth

Dentures

Dentures are removable appliances used to replace multiple missing teeth. They are designed to fit comfortably and restore basic function.

  • Removable and easy to maintain
  • Suitable for multiple missing teeth
  • Cost-effective option

Choosing the Right Option

The choice of treatment depends on various factors such as oral health, number of missing teeth, bone condition, and personal preference. A detailed evaluation helps in selecting the most suitable option for long-term results.

Our Approach to Teeth Replacement

At Aasha Orthodontic & Dental Care Clinic in Lucknow, we take a personalized approach to teeth replacement. Each case is evaluated carefully, and all available options are explained clearly so that patients can make informed decisions. The focus is on providing solutions that are functional, comfortable, and natural-looking.

Planning Your Consultation

If you have missing teeth and are considering replacement options, a consultation can help you understand the most appropriate treatment for your situation. Timely replacement can restore both confidence and oral health effectively.

Complete Dentures
Partial Denture
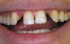
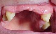
Before Denture
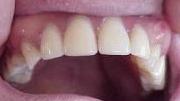
After Denture
Dental Implant
Choose Your Color
You can easily change and switch the colors.