Mon - Sat: 09.00 to 18.00, Sunday: Closed.

  • +91 99364 24084

    drshantanukhattri@gmail.com
  • Shop No-B-26 Savitri Plaza

    Booth Nath Market Lucknow

Contact Info

  • Address

    C/o Asha Dental Clinic Orthodontic And Implant Care,B-26, Savitri Plaza, Indira Nagar, Lucknow, Uttar Pradesh 226016

  • Phone

    Phone 1: +91 99364 24084

    Phone 2: +91 84005 02500

  • Email

    drshantanukhattri@gmail.com

Copyright © 2019 Asha Dental Clinic, All Rights Reserved.

Periodontal Disease (Gum Disease) and Its Treatment

Periodontal disease, commonly known as gum disease, is a condition that affects the gums and the supporting structures of the teeth. It usually begins as mild inflammation but can progress if not treated in time. At Aasha Orthodontic & Dental Care Clinic, we focus on early diagnosis and careful management to help maintain healthy gums and prevent further complications. Under the guidance of Dr Shantanu Khattri, treatment is planned according to the severity of the condition.

What Causes Gum Disease?

Gum disease is primarily caused by the buildup of plaque, a sticky layer of bacteria that forms on teeth. If not removed regularly through proper brushing and cleaning, it can harden into tartar and lead to irritation and infection of the gums.

  • Poor oral hygiene: Inadequate brushing and flossing
  • Plaque and tartar buildup: Leading to gum irritation
  • Tobacco use: Increases risk and slows healing
  • Medical conditions: Certain health issues can affect gum health

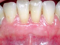
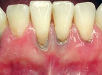
Common Signs and Symptoms

Gum disease may not always cause pain in the early stages, which is why it can go unnoticed. Recognizing early signs can help in seeking timely treatment.

  • Bleeding gums: Especially while brushing or flossing
  • Swollen or red gums
  • Bad breath: Persistent unpleasant odor
  • Receding gums: Teeth appearing longer than usual
  • Loose teeth: In advanced stages

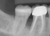
Stages of Periodontal Disease

Gum disease develops gradually and can be categorized into different stages depending on its severity.

  • Gingivitis: Early stage with inflammation and bleeding gums
  • Periodontitis: Advanced stage affecting supporting bone and tissues

Treatment Options

The treatment approach depends on how advanced the condition is. Early stages can often be managed with non-surgical methods, while more advanced cases may require additional procedures.

  • Professional cleaning: Removal of plaque and tartar
  • Scaling and root planing: Deep cleaning below the gum line
  • Medication: To control infection when required
  • Maintenance care: Regular follow-up and monitoring

Why Early Treatment is Important

If left untreated, gum disease can lead to damage of the supporting structures of the teeth and may eventually result in tooth loss. Early intervention helps in controlling the condition and maintaining overall oral health.

  • Prevents progression: Stops the disease from worsening
  • Protects teeth: Maintains stability and support
  • Improves oral health: Reduces infection and inflammation

Maintaining Healthy Gums

Good oral hygiene and regular dental visits play an important role in preventing gum disease and maintaining healthy gums over time.

  • Brush twice daily: Use proper technique
  • Floss regularly: Clean between teeth
  • Regular check-ups: Professional evaluation and cleaning

Our Approach to Gum Care

At Aasha Orthodontic & Dental Care Clinic in Lucknow, we take a careful and systematic approach to managing periodontal disease. Each case is evaluated individually, and treatment is explained clearly so that patients understand the condition and the steps involved in managing it effectively.

When to Seek Treatment

If you notice bleeding gums, swelling, or persistent bad breath, it is advisable to seek professional care without delay. Early diagnosis and treatment can help preserve gum health and prevent more serious dental problems.

Choose Your Color
You can easily change and switch the colors.